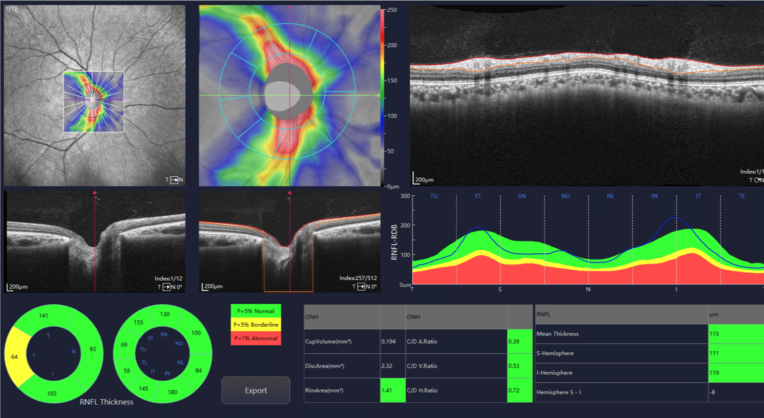
TOWARD PI®Yalkaid 100KHz Full-Range SS-OCT (YG-100Max)
100kHz speed full-range swept-source OCT for anterior and posterior
- Full-Range wide-field Swept Source OCT
- 15mm x 15mm Wide-field OCTA
- Choroid OCTA with Quantification Parameters
- HD Anterior Scan with Anterior OCTA
- 15mm Scan depth anterior











